Direkt zum Inhalt Direkt zur Navigation
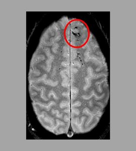
Sie sind hier: Startseite Nachrichten Gesundheit Hirn-Mikroblutungen sagen Therapieerfolg voraus Läsionen: Mikroblutungen nun sichtbar gemacht.
Läsionen: Mikroblutungen nun sichtbar gemacht.

Läsionen: Mikroblutungen nun sichtbar gemacht.

Bild: Latour Lab/ninds.nih.gov