Direkt zum Inhalt Direkt zur Navigation
Sie sind hier: Startseite Nachrichten Gesundheit Lungenembolie kann jeden treffen Lungenembolie mit Nachweis eines großen Thrombus innerhalb der rechten Pulmonalarterie
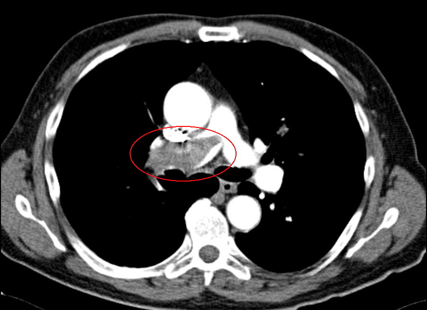
Lungenembolie mit Nachweis eines großen Thrombus innerhalb der rechten Pulmonalarterie

Lungenembolie mit Nachweis eines großen Thrombus innerhalb der rechten Pulmonalarterie

Foto: Braegel
Lizenz: CC BY-SA 3.0
Die Originaldatei ist hier zu finden.