Direkt zum Inhalt Direkt zur Navigation
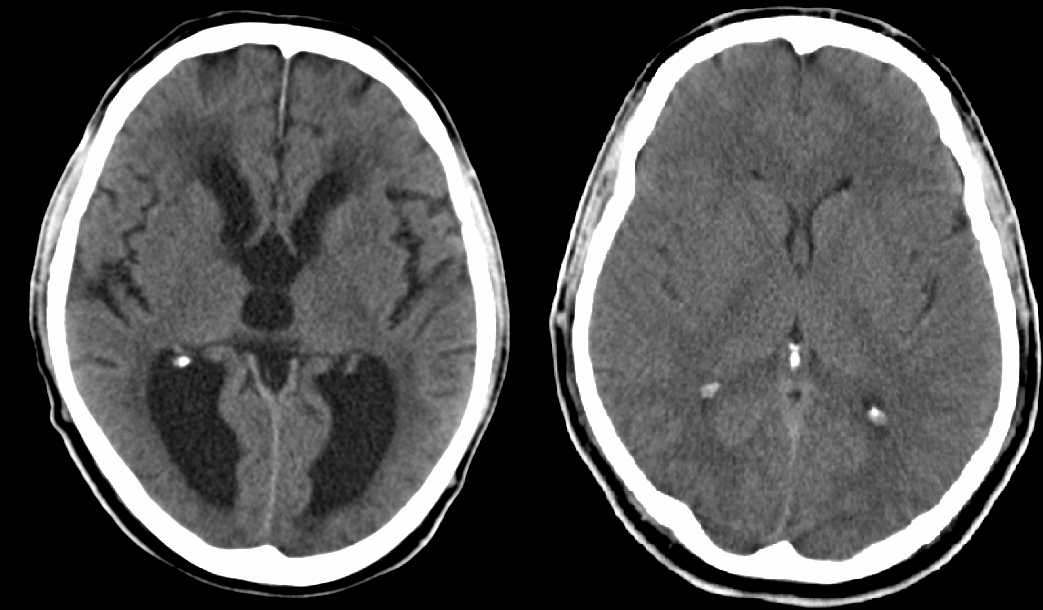
Sie sind hier: Startseite Nachrichten Gesundheit Arbeitsfähig bei 90 Prozent Hirnschwund – ein Rätsel für Wissenschaftler links CT eines Hydrocephalus internus; rechts zum Vergleich ein normales Gehirn.
links CT eines Hydrocephalus internus; rechts zum Vergleich ein normales Gehirn.

links CT eines Hydrocephalus internus; rechts zum Vergleich ein normales Gehirn.

Lizenz: Public domain
Die Originaldatei ist hier zu finden.