Direkt zum Inhalt Direkt zur Navigation
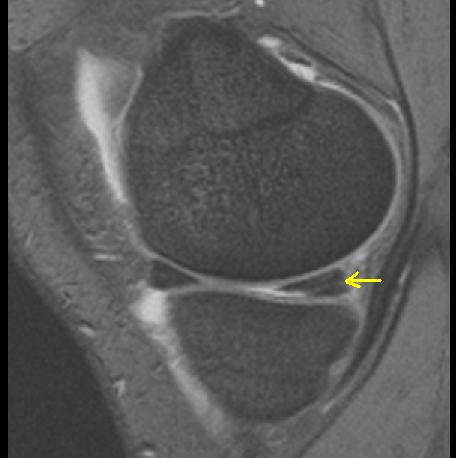
Sie sind hier: Startseite Nachrichten Gesundheit Finger weg vom Meniskus? Riss im Innenmeniskus-Hinterhorn (siehe Pfeil, Ansicht von der Seite). Das Vorderhorn ist intakt
Riss im Innenmeniskus-Hinterhorn (siehe Pfeil, Ansicht von der Seite). Das Vorderhorn ist intakt

Riss im Innenmeniskus-Hinterhorn (siehe Pfeil, Ansicht von der Seite). Das Vorderhorn ist intakt

Lizenz: MBq
Die Originaldatei ist hier zu finden.