Direkt zum Inhalt Direkt zur Navigation
Sie sind hier: Startseite Nachrichten Wissenschaft Wissenschaftler messen erstmals Trauminhalte Aktivität in der motorischen Hirnrinde bei einer tatsächlich ausgeführten Bewegung der Hände im Wachen (linkes Bild) und während einer geträumten Bewegung (rechtes Bild). Blaue Regionen spiegeln die Aktivität bei einer Bewegung der rechten Hand wider, die in der linken Gehirnhälfte deutlich wird, wohingegen rote Regionen die entsprechende Bewegung der linken Hand auf der gegenüberliegenden Hirnhälfte anzeigt. MPI für Psychiatrie
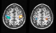
Aktivität in der motorischen Hirnrinde bei einer tatsächlich ausgeführten Bewegung der Hände im Wachen (linkes Bild) und während einer geträumten Bewegung (rechtes Bild). Blaue Regionen spiegeln die Aktivität bei einer Bewegung der rechten Hand wider, die in der linken Gehirnhälfte deutlich wird, wohingegen rote Regionen die entsprechende Bewegung der linken Hand auf der gegenüberliegenden Hirnhälfte anzeigt. MPI für Psychiatrie

Aktivität in der motorischen Hirnrinde bei einer tatsächlich ausgeführten Bewegung der Hände im Wachen (linkes Bild) und während einer geträumten Bewegung (rechtes Bild). Blaue Regionen spiegeln die Aktivität bei einer Bewegung der rechten Hand wider, die in der linken Gehirnhälfte deutlich wird, wohingegen rote Regionen die entsprechende Bewegung der linken Hand auf der gegenüberliegenden Hirnhälfte anzeigt. MPI für Psychiatrie