Direkt zum Inhalt Direkt zur Navigation
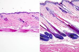
Sie sind hier: Startseite Nachrichten Gesundheit Laktat lässt Haare auf Glatzen wieder sprießen Gestoppter (links) und aktivierter Haarwuchs. Bild: UCLA Broad Stem Cell Center
Gestoppter (links) und aktivierter Haarwuchs. Bild: UCLA Broad Stem Cell Center

Gestoppter (links) und aktivierter Haarwuchs. Bild: UCLA Broad Stem Cell Center