Direkt zum Inhalt Direkt zur Navigation
Sie sind hier: Startseite Nachrichten Gesundheit Immer mehr Frauen erkranken an Brustkrebs In der Mammographie einer dichten Brust ist das Karzinom kaum zu erkennen
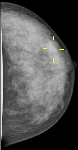
In der Mammographie einer dichten Brust ist das Karzinom kaum zu erkennen

In der Mammographie einer dichten Brust ist das Karzinom kaum zu erkennen