Direkt zum Inhalt Direkt zur Navigation
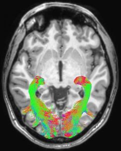
Sie sind hier: Startseite Nachrichten Gesundheit Parkinson: Visuelles System verändert sich früh Gehirn-Scan: Strukturen verändern sich frühzeitig. Bild: rsna.org
Gehirn-Scan: Strukturen verändern sich frühzeitig. Bild: rsna.org

Gehirn-Scan: Strukturen verändern sich frühzeitig. Bild: rsna.org