Direkt zum Inhalt Direkt zur Navigation
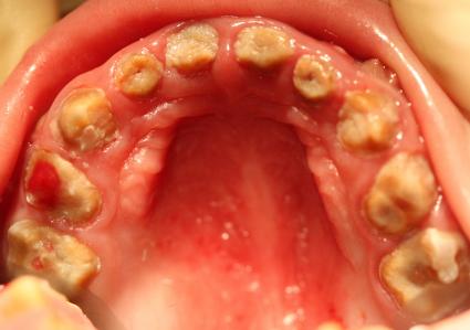
Sie sind hier: Startseite Nachrichten Gesundheit Kindernarkosen beim Zahnarzt: Aus Wirtschaftlichkeitsgründen in Hamburg nicht mehr ausreichend möglich? Bei vielen Kindern sind die Milchzähne so stark geschädigt, dass Kiefer und Gebiss nur mithilfe einer Operation in Vollnarkose saniert werden können. Bild: "obs/Anästhesie-Netz-Hamburg (ANH) e. V."
Bei vielen Kindern sind die Milchzähne so stark geschädigt, dass Kiefer und Gebiss nur mithilfe einer Operation in Vollnarkose saniert werden können. Bild: "obs/Anästhesie-Netz-Hamburg (ANH) e. V."

Bei vielen Kindern sind die Milchzähne so stark geschädigt, dass Kiefer und Gebiss nur mithilfe einer Operation in Vollnarkose saniert werden können. Bild: "obs/Anästhesie-Netz-Hamburg (ANH) e. V."