Direkt zum Inhalt Direkt zur Navigation
Sie sind hier: Startseite Nachrichten Gesundheit Kölner Forscher klären Zusammenhang zwischen Übergewicht und Tumorwachstum auf Dickdarmgewebe aus schlanken (links) und übergewichtigen (rechts) Mäusen der Studie. Bei den übergewichtigen Tieren ist ein verstärktes Tumorwachstum mit erhöhter Immunzellanzahl (blau) zu sehen.
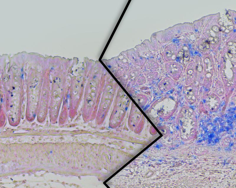
Dickdarmgewebe aus schlanken (links) und übergewichtigen (rechts) Mäusen der Studie. Bei den übergewichtigen Tieren ist ein verstärktes Tumorwachstum mit erhöhter Immunzellanzahl (blau) zu sehen.

Dickdarmgewebe aus schlanken (links) und übergewichtigen (rechts) Mäusen der Studie. Bei den übergewichtigen Tieren ist ein verstärktes Tumorwachstum mit erhöhter Immunzellanzahl (blau) zu sehen.

Bild: Max-Planck-Institut für Stoffwechselforschung, Köln