Direkt zum Inhalt
Direkt zur Navigation
Suche
Videos
Kategorien
Nachrichten
Weltgeschehen
Politik
Wirtschaft
Medien
Gesundheit
Ernährung
Wissenschaft
Natur/Umwelt
IT/Computer
Vermischtes
Sport
Berichte
Weltgeschehen
Politik
Zeitgeschichte
Wirtschaft
Gesundheit
Ernährung
Wissenschaft
IT/Computer
Vermischtes
Meinungen/Kommentare
Ratgeber
Verbraucherinfos
Recht
Testberichte
Bücher
Romane
Sachbücher
Musik
Filme
Software
Anwendersoftware
PC-Spiele
Konsolen-Spiele
Produkte
Technik
Sonstiges
Erotik
Tipps & Tricks
Allgemein
Gesundheit
Finanzen
IT/Computer
Technik
Downloads
Ernährung
Lifestyle
Internet
Fernsehen
Kino
Produkte
Reisen
Kurioses
Archiv
Termine
Messen
Vorträge
Seminare
Sonstige
Linkliste
Medien
Handel
Foren
Wirtschaft
Vermischtes
Blogs
Archiv
In eigener Sache
AGB
Presse
Pressekodex
Redaktion
Service
Beitrag einreichen
Werben auf ExtremNews
Webmaster
Impressum
Sie sind hier:
Startseite
→
Berichte
→
Wissenschaft
→
Träum ich oder wach ich?
→
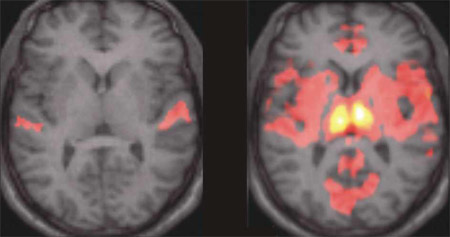
Bild: MPI für Psychiatrie
Bild: MPI für Psychiatrie
Zurück zu
Träum ich oder wach ich?