Direkt zum Inhalt Direkt zur Navigation
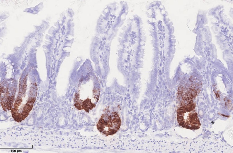
Sie sind hier: Startseite Berichte Gesundheit Mitochondrien steuern unsere Darmzellen HSP60 in Mitochondrien kontrolliert die Stammzellproliferation im Darmepithel. HSP60-negative Krypten im Darm zeichnen sich durch den Verlust von braungefärbten Stammzellen aus, während HSP60-positive Darmareale eine verstärkte Stammzellproliferation zeigen. Bild: Team Haller/ TUM
HSP60 in Mitochondrien kontrolliert die Stammzellproliferation im Darmepithel. HSP60-negative Krypten im Darm zeichnen sich durch den Verlust von braungefärbten Stammzellen aus, während HSP60-positive Darmareale eine verstärkte Stammzellproliferation zeigen. Bild: Team Haller/ TUM

HSP60 in Mitochondrien kontrolliert die Stammzellproliferation im Darmepithel. HSP60-negative Krypten im Darm zeichnen sich durch den Verlust von braungefärbten Stammzellen aus, während HSP60-positive Darmareale eine verstärkte Stammzellproliferation zeigen. Bild: Team Haller/ TUM