Direkt zum Inhalt Direkt zur Navigation
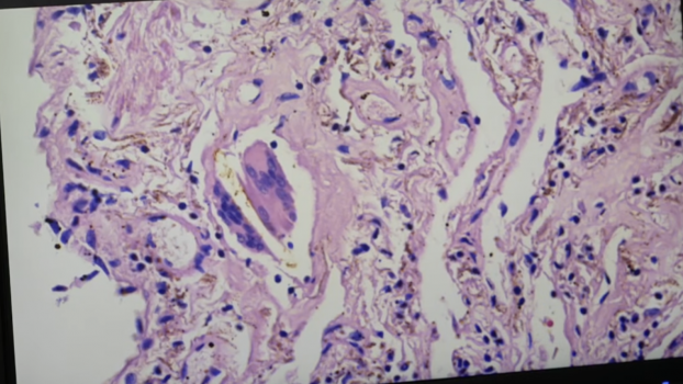
Sie sind hier: Startseite Berichte Gesundheit Politikerin fordert sofortige Prüfung der Corona-Impfstoffe Die Braunen Stellen zeigen Metall-Ablagerungen im Gewebe eines Impftoten. Bild: WB / Eigenes Werk
Die Braunen Stellen zeigen Metall-Ablagerungen im Gewebe eines Impftoten. Bild: WB / Eigenes Werk

Die Braunen Stellen zeigen Metall-Ablagerungen im Gewebe eines Impftoten. Bild: WB / Eigenes Werk