Direkt zum Inhalt Direkt zur Navigation
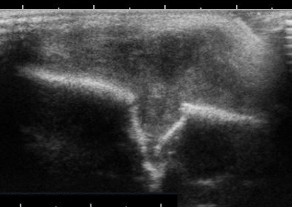
Sie sind hier: Startseite Berichte Gesundheit Neue Einsichten in die Entwicklung einer ungewöhnlichen Kinderkrankheit Ultraschallschnitt eines eosinophilen Granulomes am Schädel bei einem 1 jährigen Kind mit großem Weichteiltumor und deutlich kleinerer, unterminierender Destruktion der äußeren Teile der Schädelkalotte
Ultraschallschnitt eines eosinophilen Granulomes am Schädel bei einem 1 jährigen Kind mit großem Weichteiltumor und deutlich kleinerer, unterminierender Destruktion der äußeren Teile der Schädelkalotte

Ultraschallschnitt eines eosinophilen Granulomes am Schädel bei einem 1 jährigen Kind mit großem Weichteiltumor und deutlich kleinerer, unterminierender Destruktion der äußeren Teile der Schädelkalotte

Foto: Kinderradiologie Olgahospital Klinikum Stuttgart
Lizenz: CC BY-SA 4.0
Die Originaldatei ist hier zu finden.